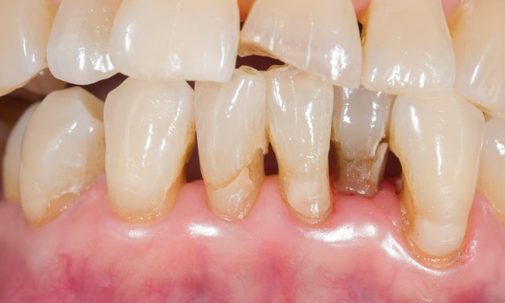
Long teeth occur primarily due to gum recession, where the gums recede due to periodontitis, tobacco use, or aggressive brushing, exposing more of the tooth’s root. They can be aesthetically unpleasing, cause long-term dental problems, and make basic oral care challenging.
Proper oral care is essential for long teeth and can help prevent long-term problems such as tooth decay, sensitivity, and tooth loss. It helps to brush with a soft-bristled toothbrush, floss daily, and use an antiseptic mouthwash.
Regular dental checkups are also important as the teeth can be difficult to clean, making them prone to plaque build-up. This comprehensive guide covers long teeth care, common problems, and solutions.
Challenges of Having Long Teeth
Long teeth can present several challenges due to their length and exposed root structure. These can include:
- Increased sensitivity to temperature, pressure, and sweet or sour foods: Receding gums exposes the tooth’s root, which is more sensitive than the crown. A worn-out enamel can also expose the dentin, which is sensitive to temperature and pressure changes.
- Difficulty cleaning: Long teeth can be hard to clean because of their size and exposed root. Plaque can build up in the long crevices of the tooth, increasing the risk of gum disease, tooth decay, and infection.
- Aesthetics: They can have a long, curved look that some people may find unappealing. They become self-conscious, smile less, and even experience social anxiety and may feel embarrassed or ashamed.
- Increased risk of receding gums: Long teeth can cause further gum recession over time due to their length. Professional dental intervention is needed to help prevent long-term problems and further receding.
- Difficulty eating and speaking: Long teeth rub against the cheeks, tongue, and lips, making it difficult and uncomfortable to eat and speak.
Long teeth can result in significant emotional and physical issues. Understanding the challenges they present and taking a proactive approach to optimal care can help.
Common Dental Problems Associated with Long Teeth
Long teeth, when left unchecked, can cause a variety of long-term problems, including:
- Tooth decay: Long teeth can be difficult to clean, and plaque can build up on the long crevices of the tooth. This increases the risk of tooth decay, cavities, and infection. Tooth decay occurs when acid from plaque erodes the enamel and dentin.
- Gum disease: Gum recession exposes more of the tooth’s root, increasing the risk of gum disease and infection. This can lead to long-term problems such as tooth loss, bad breath, and systemic diseases like heart disease, stroke, and diabetes. Gum disease starts as gingivitis – an inflammation of the gums that can cause redness and swelling. This can progress to periodontitis if left untreated, causing bone loss and long-term damage.
- Sensitivity: Root exposure makes long teeth more sensitive to temperature, pressure, and acidic foods, leading to discomfort and pain. Eating and drinking hot or cold items can be especially painful.
- Bone loss: Bacteria build-up and long-term damage can lead to severe jaw bone deterioration, leading to long-term problems such as shifting teeth, facial distortion, and misalignment.
Dental problems can be severe and long-term, so it’s vital to take proactive oral care to prevent further damage.
Tips and Solutions for Long Teeth Care
Proper oral care is the foundation for a healthy mouth and overall well-being. Follow these tips for long teeth care:
Regular Brushing and Flossing
Brush with a soft-bristled toothbrush and fluoride toothpaste for two minutes twice a day. Use gentle circular motions to reach all crevices and rinse with water afterward. You should floss at least once daily, as long teeth can quickly accumulate plaque.
Take a length of about 45 centimeters of floss and wrap it around your fingers. Gently slide the floss between the teeth to remove food particles. Exercise caution around the gums to avoid irritation.
Rinse with Mouthwash
Mouthwash prevents plaque and bacteria build-up, helps prevent long-term damage, and freshens breath. Mouthwash contains active ingredients like chlorhexidine, cetylpyridinium chloride, and essential oils that kill bacteria and improve oral health. Wait 10–20 minutes after brushing to rinse with mouthwash – this helps prevent washing the fluoride away.
Visit the Dentist Regularly
Regular dental visits every six months are recommended for optimal oral health. The dentist will perform professional cleanings to remove plaque and tartar build-up and examine your teeth for signs of decay and gum disease and recommend solutions.
Prepare in advance by doing due diligence, such as finding a reliable dentist, having all necessary medical documents ready, and checking whether your insurance covers the visit.
Wear a Nightguard
Long teeth tend to rub against each other while sleeping, causing excessive wear. Using a custom-fit nightguard protects and cushions the teeth while sleeping and helps prevent teeth grinding and clenching, which causes long-term problems such as jaw pain, headaches, and temporomandibular joint disorder.
Talk to your dentist about the best type of nightguard for your mouth.
Modify Your Diet
Eating crunchy, acidic, and sugary foods can cause long-term damage to your teeth. Choose healthier alternatives like fresh fruits, vegetables, and whole grains. Drinking plenty of water also helps neutralize acids in the mouth and rinses away food particles.
Corrective Dental Treatments
There are a few corrective treatments available for long teeth. Orthodontic treatments such as braces and retainers can help adjust the angle of long teeth and straighten them out. Bonding, crowns, and veneers can help fix minor problems like chips and discoloration.
Gum grafting is also an option for long-term damage caused by periodontal disease. Your dentist will choose the best option based on your individual needs.
Long teeth can be an aesthetic challenge, but proper care and preventive measures are essential to maintain good oral health. Developing a daily routine of brushing and flossing, using mouthwash, and visiting the dentist regularly can help keep your teeth healthy and strong.
Learn More About Long Teeth Care Today
The Dental Team is here to answer all your questions about long teeth care. We offer comprehensive oral health services, from preventive and restorative treatments to cosmetic procedures. Our experienced team of dentists can provide personalized advice and treatment options that best suit your unique needs. Take the first step toward a healthier, brighter smile today by booking an appointment at any of our convenient locations today.

